A Pregnant Ancient Egyptian Mummy Has Been Discovered in a Shocking World First
A Pregnant Ancient Egyptian Mummy Has Been Discovered in a Shocking World First
The first remains of an ancient Egyptian mummified pregnant woman have been identified, dating back more than 2,000 years were discovered at Thebes.

The corpse was 28 weeks into her pregnancy when she died, scans of the body revealed.
Experts from the Polish Academy of Sciences, working as part of the Warsaw Mummy Project, worked to discover more about the woman, thought to be in her 20s.
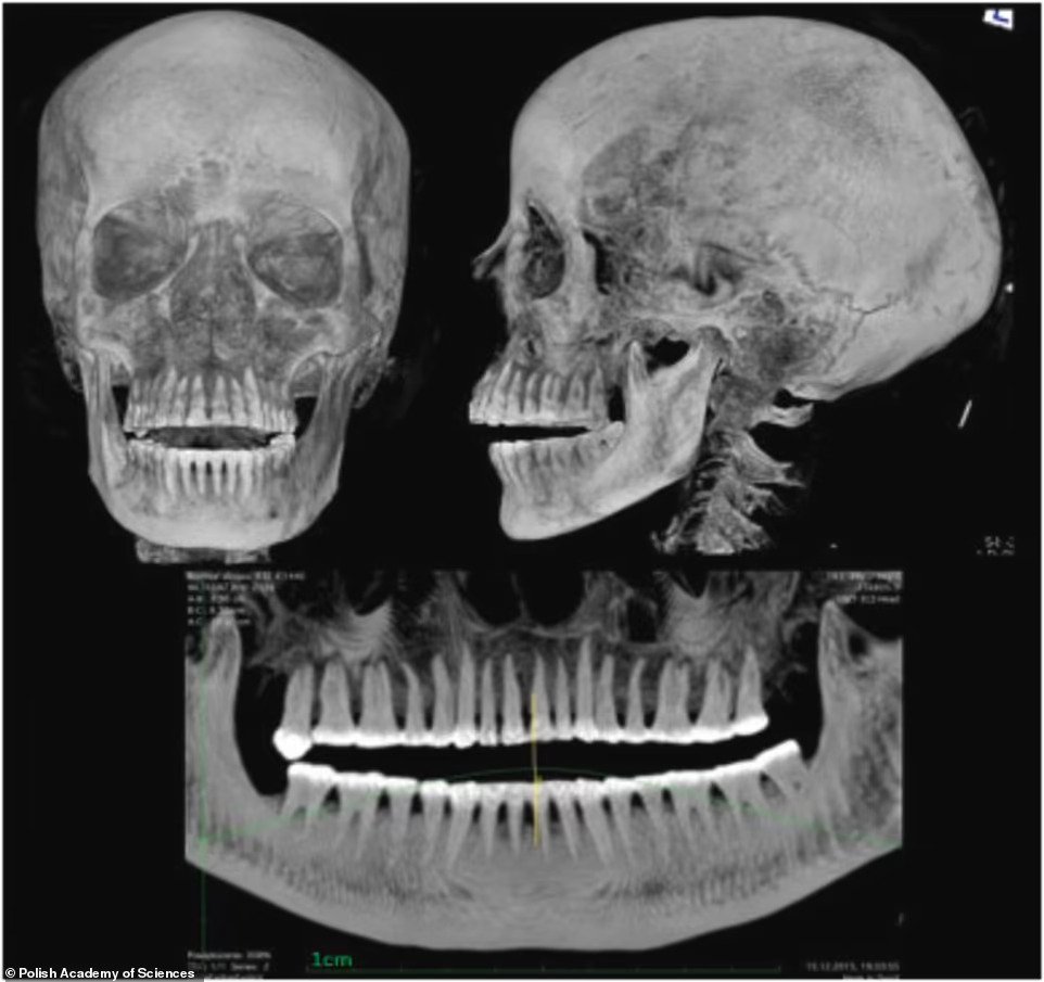
Through a combination of CT scans and X-rays, the team discovered the remains of a foetus, about 26 to 30 weeks old, inside the woman - the first time a pregnant mummy has been discovered.
The body of the woman, who died 2,000 years ago, had been carefully wrapped in fabrics and left with a rich set of amulets to see her into the afterlife, according to the authors writing in the Journal of Archaeological Science.
The team can’t say exactly why the foetus was left inside the woman and not mummified separately, but suggest it may be because it was too young to have a name so needed to travel to the afterlife inside its mother.
YOU MAY ALSO LIKE: Exquisite 2,000-year-old sapphire ring thought to have belonged to Roman Emperor Caligula
Study lead author Dr Wojciech Ejsmond said this was the ‘first discovery of a pregnant embalmed body,’ adding: ‘There is no other so well preserved ancient body of a pregnant woman.’


The body was wrapped in high-quality fabrics and was laid to rest with a range of amulets that represent the four sons of Horus, which the team say suggest she was someone very important in Thebes.
The mummy was said to have been found in royal tombs in Thebes, Upper Egypt, coming from the elite of Theban community, according to the study authors.
It was discovered in the 1800s and dates back to the first century BC, a time when Cleopatra was Queen and the city of Thebes was a hive of activity.
The woman was taken to Warsaw in Poland in 1826, around the time of some of the most important discoveries from the Egyptian Valley of the Kings and is currently on show at the National Museum in Warsaw.
Closer examination in 2021, using modern imaging techniques, revealed that the woman died between 20 and 30 years of age together with the foetus, aged up to the 30th week of pregnancy.
‘This mummy provides new possibilities for pregnancy studies in ancient times, which can be compared with and related to current cases,’ study authors wrote.
‘Furthermore, this specimen sheds a light on an unresearched aspect of ancient Egyptian burial customs and interpretations of pregnancy in the context of ancient Egyptian religion.’
‘For Egyptologists, this is a fascinating discovery because we know little about perinatal health and childhood in ancient Egypt,’ Dr Ejsmond added.
‘Physicians can study, for example, the intestinal content of the foetus to gather information on the development of the immune system in ancient times.’
The foetus was located in the lower part of the lesser pelvis and partly in the lower part of the greater pelvis and was mummified together with its mother. However, it was not removed from its original location..
It was left intact in the uterus. Its head circumference was 9.8 inches, which the team used to determine it was between the 26th and 30th week of life.
‘Due to the poor state of preservation of the child’s skeleton, with shrinking bones caused by drying and fractures, it was impossible to take any measurements of other bones,’ the team wrote.
CT images of the infant were obscured by tissue from the uterus surrounding it, which meant they could not get a more detailed analysis beyond measuring the head.
It wasn’t taken out from the uterus, as was in the case of the heart, lungs, liver, and intestines with the stomach.
The study authors couldn’t say why the foetus wasn’t extracted and mummified on its own, as has been shown in other instances of stillborn children.
‘It may have been thought to be still an integral part of the body of its mother, since it was not yet born,’ they said.

The foetus hadn’t been given a name and according to ancient Egyptian beliefs, a name was an important part of a human being, thus, its afterlife could only have happened if it had gone to the netherworld as part of its mother.
Maternal mortality is high even today, according to the World Health Organisation 295,000 women died during and following pregnancy and childbirth in 2017 - it was much higher in ancient times.
However, the approximations of how serious the problem was are often educated guesses, according to the study authors, adding that until this find, sources of information in ancient Egypt were written records.
Burials of pregnant women are rarely identified and until the current discovery, there was no material to perform the first-hand examinations related to birth complications and test bodies for use of ancient medical treatments.
‘This mummy opens a new possibility for studying pregnancy in ancient times, development of fetuses, and the taphonomic processes of foetuses as well as uteruses.
‘The fact that only non-invasive examinations of this mummy have been conducted so far means that it is intact and can be the subject of future multidisciplinary investigations.
‘For example, an analysis of the intestinal content of the foetus can be compared with current research results of bacterial colonisation to gather information on the development of immunological system,’ the team wrote.
This discovery is also important for studies on ancient interpretations of pregnancy in the context of funerary beliefs. Establishing the meaning of leaving the foetus inside the mother’s womb and mummifying both of them together is difficult, but also very interesting, they explained.
YOU MAY ALSO LIKE: Archaeologists Discover Decapitated Horse Next To Its Rider In Cemetery For Elite Warriors
More work is needed to better understand how the woman came to be mummified with the foetus, according to the team, who say they can’t confirm who she is or even that she was actually found in the royal tombs.
The findings have been published in the Journal of Archaeological Science.