Fossilised Protein Has Been Discovered Inside a 195-Million-Year-Old Dinosaur Bone
Fossilised Protein Has Been Discovered Inside a 195-Million-Year-Old Dinosaur Bone
It might be the oldest soft tissue sample ever found. Researchers discovered ancient collagen and protein remains preserved in the ribs of a dinosaur that walked the Earth 195 million years ago.

No, this doesn’t mean “Jurassic Park�? is about to become a reality. But finding such well-preserved organic remains from one of the oldest dinosaurs, a Lufengosaurus, is unprecedented.
“This finding extends the record of preserved organic remains more than 100 million years,�? the researchers said in their study, published in the journal Nature Communications. The researchers were from Taiwan, China and Canada.
Previously found collagen fragments dated back 75 million or 80 million years ago. The location of the newly discovered collagen was also surprising.
“Usually, people have looked and found collagen in the big, massive limb bones, not in the more delicate ribs,�? said Robert Reisz, one of the authors of the study and a paleontologist at University of Toronto Mississauga.
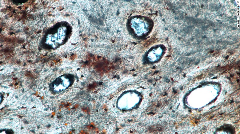
Collagen is one of the main protein components in connective tissues and skin. In this case, the researchers believe that the collagen and protein they found in the tiny vascular canals of the rib represent the remains of blood vessels.
When the dinosaur was alive, this is where blood vessels, blood and nerves would have been housed.
Hematite samples, represented by dark red dots, were also found in the vascular canals. Hematite is a mineral that can be derived from iron-rich hemoglobin, the protein molecule in red blood cells that transports oxygen from the lungs to tissues.
The hematite most likely came from hemoglobin and other iron-rich proteins in the dinosaur’s blood, acting like a preservative for the collagen, the researchers said. Studying these samples can give them a better idea of the early stages of dinosaur evolution.


The researchers also focused on preservation and used noninvasive imaging techniques such as spectroscopy and microspectroscopy rather than removing the samples and dissolving away parts of the fossil, like in similar, previous studies. This also decreased the likelihood of the sample becoming contaminated with modern bacteria.
Lufengosaurus lived 190 million to 200 million years ago, making it one of the oldest dinosaurs from the early Jurassic period.
Characterized by a long neck and body that stretched about 26 feet, it probably spent part of its time walking on two legs.
Even though it had sharp teeth and claws, Lufengosaurus was most likely a herbivore. It was a type of sauropodomorpha, a class of long-necked “lizard-footed�? dinosaurs that fed on plants.
Their fossils, and even nests containing embryos, are most commonly found in Lufeng, for which they were named, in China’s Yunnan Province.
Some of the same researchers from this study discovered the “bonebed�? of nests full of embryos, also including preserved organic remains, in 2013.
YOU MAY ALSO LIKE: Scientists Follow a ‘Yellow Brick Road’ in a Never-Before-Seen Spot of The Pacific Ocean
“Previously, we had some evidence of organic remains in the embryos, but did not really have any detailed information about those organics,�? Reisz said.
The researchers hope that their discovery will enable to them to find more preserved ancient proteins and study them in a way that promotes preservation.
Published on February 3, 2017.